
이 글을 본 사람에게 묻고싶다.
기미제품 써서 기미 해결 됐나?
기미치료 받아서 기미 해결 됐나?
단언컨데 1%도 안될거라고
자신할 수 있다.
기미는 착색, 색소침착이다.
아무런 기미크림을
바른다고 해결되진 않는다.
기미를 없애기 위해
화장품 사용, 시술 전이라면
다행이다.
돈을 무조건 아껴주겠다.
시작 전 '기미 = 착색'
하나만 기억하자.
본론으로 들어가기 전,
이전에 작성했던 글은
2개월만에 조회수 10만이 넘었고,
주간 1위도 했다.


많은 사람들에게 검증된 글임을
조금이라도 보여주기 위해 올려본다.
지금부터 본론이다.
나는 기미에 대한
올바른 정보를 얻기 위해
논문 15개, 제조사 자료 12개를
보며 공부하고, 정리했다.
그 결과를 압축하여
5분 안에 읽을 수 있도록
작성했다.


본론
40대를 넘어서면
대부분 기미가 스멀스멀 찾아온다.

검색해보면 알겠지만
하루에도 수백명이 기미 관련된
고민을 올린다.
하지만, 다양한 블로그와 유튜브에서
정보를 찾아봐도
본질도, 효과도 없는
대부분 광고성 정보일 뿐이다.
이 글을 적게 된 이유는
내가 기미가 너무 심했기 때문이다.

형편이 넉넉지 않았기 때문에
어릴적부터 야외에서 일하는 경우가
매우 잦았다.
그렇다보니 자연스럽게
내 피부는 햇빛에 자주 노출되었다.

당연히 햇빛이 기미, 착색을
유발한다는 사실도 알고 있었다.
그래서 선크림, 전면마스크, 캡모자를
습관적으로 착용했다.
하지만, 아무리 잘 관리해도
하루종일 야외에서 일하다보니
기미가 피어났다.
하지만 내 생각보다 조금 심각했다.
피부가 너무 상해서, 일을 쉬었지만
이상하게 기미는 더욱 커져갔다.


그렇게 기미를 없애보기위해
다양한 기미제품을 사서 썼다.

14만 원 이상의 고가 크림도
구매해서 매일 써봤지만
조금의 효과도 없었다.....

돈, 시간이 날아가다보니
기미 제품은 다 사기가 아닐까?
라는 판단이 섯다.
그래서 피부과를 믿고
기미 레이저 토닝 같은 시술을
받으려고 했지만
기미가 심한편이라
20회를 받아야 한다는데
10회당 최소 300만 원이었다.
하지만 효과는 확신 받을 수 없었다.

또한, 시술 부작용 사진을 보니
도무지 큰 돈주고 부작용이라는
부담을 질 자신이 없었다.

이런 상황이 반복되자..
스스로 해결법을 찾아보려고 했다.
그렇게 시간이 흐르다보니,
정말 전문가 못지 않은 이론지식과
실제 나에게 테스트하면서
기미를 개선할 수 있었다.
지금부터 그 방법을
빠르게 공유하겠다.
잠시 설명하기에 앞서
해주고싶은 말이 있다.
대부분의 기미크림은
'사기'에 가깝다.
기미는 남녀노소 할거없이
많은 사람들의 고민거리 중 하나이다.
전문가가 아니더라도
돈냄새 맡은 장사꾼들이
대충 크림을 만들어 기미에 좋다고
파는 경우가 많아진다는 뜻이다..

광고용이 아니라 정말 효과 본 사람이
남긴 후기가 과연 몇개나 될지..
.
.
.
단, 1명은 있을까 싶다...
기미 원인
기미의 원인은
큰 틀에서 1개다.
피부에 자극이 가해지면
멜라닌이 자극을 받아
피부가 까매진다.

즉,기미는 = 착색과 같다.
그리고 피부에 자극을 받게하는
가장 큰 요소가
바로 '햇빛', '컨디셔닝 노화'이다.
1. 햇빛을 안보고 살 수 있을까?
2. 컨디셔닝이 자동으로 될까?
그럴 수 없다.
기미를 없애기 위해서는 못해도
3가지는 기억했으면 한다.
1.자외선 차단제 사용
밖에 외출을 하게 될때는 꼭 선크림을
사용하기를 바란다.
자외선 차단제로도 할 말이 많지만..
실상 시중에 판매되고 있는
유기자차, 무기자차, 혼합자차 등.
대부분의 선크림은
비슷한 효과를 보인다.

본인 피부에 따라 제형만 확인하고
구매해도 나쁘지 않을거다.
건성피부 -> 크림타입 good
지성피부 -> 에센스타입 good
웬만하면 대부분 나쁘지않다.
물론, 자외선 차단제는
기미 생성을 예방할 뿐,
이미 생겨난 기미를 없애지는
못한다.
2. 기미 제거
기미를 제거하기 위해서는
제대로 된 성분을 알아야 한다.
수 많은 임상 시험에서 기미제거에
탁월한 효과를 보인다고 하는
성분, 연구 결과를 수 없이 접했다.

그 중에서 나는
마데카소사이드 성분에
주목했다.
왜?

100ppm이라는 소량의
마데카소사이드를 썼음에도 22%↓의
멜라닌 색소 억제력을 보였고.
멜라닌 합성 측면에서도
합성도 23.2%↓ 감소했다.
즉, 매우 소량으로도
멜라닌 합성을 효과적으로 억제했다.

또한, 케라틴 세포의
식균 작용을 억제하여
기미 원인제거에 한목한다.

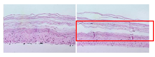
마데카소사이드 사용 후
3D 피부 이미지를 보면
그 변화가 확실하게 보인다.

우측은 고작, 50PPM의
마데카소사이드를 사용한거다.
그럼에도 중간 멜라닌 형성이
억제된 모습을 볼 수 있을거다.
3. 컨디셔닝 확인
대표적인 내용 한 개만
공유했지만, 이외에도
기미를 개선에 필요한
컨디셔닝 성분 등, 수십가지의
성분과 항목들을 점검했다.
(다이프로필렌글라이콜,제형,나이아신아마이드,아데노신,티트리추출물,캐모마일꽃추출물 등........)
컨디셔닝이 중요한 이유는
기본적으로, 피부의 회복력과 튼튼함
때문이다.
아무리 좋은 성분을 사용하고,
내가 꾸준히 관리하더라도
피부가 회복할 능력이 안되거나
외부의 자극이 지속적으로 있다면
기미는 회복되기 어렵다.
때문에, 컨디셔닝 성분이 포함됐는지
꼭 확인하는게 중요하다.
대표적으로는
다이프로필렌글라이콜
티트리, 캐모마일 등.. 이 있다.
이야기가 너무 길어질까 싶어,
컨디셔닝 이야기는 이쯤하고 정리하겠다.
수많은 자료와 성분을 분석한 토대로
나, 그리고 친한 2명의 동생들에게
테스트 해봤다.
'그 결과'
.
.
.
.
.
.
4달 만에, 극적인 변화를
겪을 수 있었다.


39살 기미잡티 점점 사라지는 중


41살 동생도 넓게 번진 기미 사라지는 중.


지인의 지인 20대.. 기미잡티
핵심 결론
알아야 할건, 딱 3가지다
1. 외부의 자극을 줄여야 한다.
특히 햇빛을 피하는게 중요하다.
2. 멜라닌 합성 억제 및 기미 개선
성분을 꼭 확인해야한다.
(마데카소사이드)
3. 기미개선 컨디셔닝 성분 확인
자외선차단제는 뭘써도 상관없지만
기미 제거를 위한 제품은
명확하게 지정해주는 사람이 없다.
그래서 약 20개의
기미, 색소침착 제품을 분석한 결과.
아래의 결론을 얻었다.
(훨씬 더 많은 항목을(41개 항목) 비교 했으나 제품 유추가 가능할까 싶어 안올렸다)

위에보면 9개의 제품만 나오는데
11개 제품은 마지막에 뺐다.
그 이유는, 기미에 효과가 있는지
임상시험조차 거치지 않은 제품이다.
제품 저격으로 신고를 먹을 수 있으니
위에 표는 참고만 하길 바란다.
스스로 해결할 수 있다는 내용을
전달하기 위해 작성한 글이므로 각각
공개하지는 않겠다.
(검색창에, 착색리스크림을 검색해보면 된다)
글을 마치면서...
기미로 많은 스트레스를
받은 사람으로서,
이 글이 도움이 됐으면 하는
마음에 작성했습니다.
누구에게는 맞을 수 있고
누구에게는 안맞을 수 있지만
똑같이 기미로 스트레스 받았던
소비자가 조금이라도 도움이 되고자
용기를 내봤습니다.
제 개인적인 경험을 통해
많은 분들에게 도움되고 있다는 것에
보람을 느낍니다
제가 알려드린 팁을 바탕으로
돈 낭비없이, 시간낭비없이
기미 없애시길 바랍니다.
※긴급 추가본※
제 글이 네이버 메인에 걸리게 되어
최근 밴드, 유튜브 등 곳 유입들도 많아지며
여러 사람들에게 이슈가 된 것 같습니다
제품 문의 그만해주세요.
제품 추천글처럼 보일까봐
제품명 언급은 안하기로 했는데
쪽지, 메일이 하루에 수십통이
날라오고 있습니다.
처음에는 다 답변드렸으나
너무 문의가 많아 제가 사용중인
링크를 잠시나마 공유 드리겠습니다.
다만 해당 업체에서 내려달라
요청 시 링크 삭제할 수 밖에
없는 점 양해 부탁드립니다.
중지했던 링크를 잠시 공유드리겠습니다
(차주 월요일 자정 삭제 예정)
1위 (E사) : https://vo.la/doOjTaN
[13차 소량입고] 허요케 착색 리스크림 기미 설빛 크림 - 허요케
😀회원가입 하면 3,000원 할인쿠폰 지급😀
heoyoke.com
2위 (H사) : https://smartstore.naver.com/lsndfkd
유명하진 않지만 괜찮았던 ㅇㅇ 코스 제품인데
리뉴얼중이라 현재는 판매 중단상태다.
참고 논문 일부.
Comparison of the Efficacy of Melasma Treatments: A Network Meta-Analysis of Randomized Controlled Trials"
"Treatment of Melasma on Darker Skin Types: A Scoping Review"
"Update on Melasma—Part II: Treatment"
"Formulation of Triple Cream for Treatment of Melasma"
"Laser therapy in the treatment of melasma: a systematic review"
"Melasma in people with darker skin types: a scoping review protocol on prevalence, treatment options, and impact on quality of life"
"Mechanism of Action of Topical Tranexamic Acid in the Treatment of Melasma"
"Efficacy and safety of picosecond laser for the treatment of melasma: a meta-analysis"
"Heterogeneous Pathology of Melasma and Its Clinical Implications"
"New oral and topical approaches for the treatment of melasma"
"Tranexamic Acid in the Treatment of Melasma: A Review"
"Melasma: A comprehensive update on treatment options"
"Clinical Evaluation of Topical Creams in the Treatment of Melasma"
"Photoprotection and Melasma: Current Understanding and Future Directions"
"Efficacy of Chemical Peels in the Management of Melasma"
Comparison of the Efficacy of Melasma Treatments: A Network Meta-Analysis of Randomized Controlled Trials"
"Treatment of Melasma on Darker Skin Types: A Scoping Review"
"Update on Melasma—Part II: Treatment"
"Formulation of Triple Cream for Treatment of Melasma"
"Laser therapy in the treatment of melasma: a systematic review"
"Melasma in people with darker skin types: a scoping review protocol on prevalence, treatment options, and impact on quality of life"
"Mechanism of Action of Topical Tranexamic Acid in the Treatment of Melasma"
"Efficacy and safety of picosecond laser for the treatment of melasma: a meta-analysis"
"Heterogeneous Pathology of Melasma and Its Clinical Implications"
"New oral and topical approaches for the treatment of melasma"
"Tranexamic Acid in the Treatment of Melasma: A Review"
"Melasma: A comprehensive update on treatment options"
"Clinical Evaluation of Topical Creams in the Treatment of Melasma"
"Photoprotection and Melasma: Current Understanding and Future Directions"
"Efficacy of Chemical Peels in the Management of Melasma"DB3